終於,決定狠下心,送茶茶去開刀.
為什麼要開刀,就是為了拯救她那條最後的一支腿.
茶茶的雙腿,罹患的就是小型犬常見的膝關節異位.
但是因為前飼主的獸醫說,這種病不需要醫治,因為以後還會復發.
因而延誤了茶茶的黃金治療期,讓左後腿因而嚴重變形,卷縮而無法使用.
剩下的右後腿,也有同樣的問題.
而且也因為這是唯一可站立的後腿,讓全身重量擠壓在這條腿上,更是會加速膝關節的惡化.
醫生也建議,盡快讓右後腿開刀,延緩惡化的狀況,是當務之急.
於是,星期六,我把整天的時間空出,
就是打算陪著茶茶在醫院耗~~~
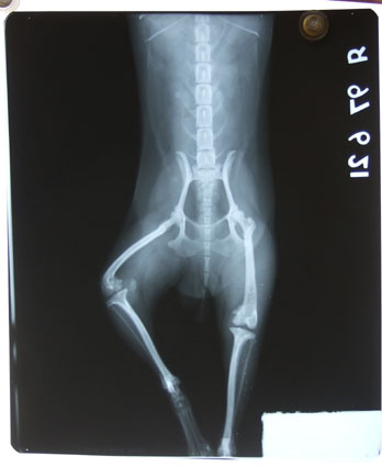
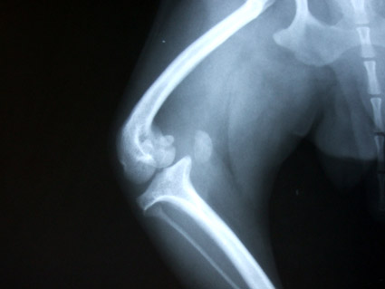
手術前,醫生先替茶茶拍X光片.
這是正面照.

要開刀的這邊關節,韌帶已萎縮,狀況真的不太好.
所以醫生說要切斷原本的韌帶,裝上新的人工韌帶.

變形的左後腿,兩隻腳骨已呈現90度扭轉變形,韌帶也完全萎縮.
醫生說,如果要賭賭看,這條腿也可以開刀試試.
但不保證可以恢復到什麼程度,或是,開刀是否有幫助.

趁著醫生在做血檢時,我偷偷問茶茶,你要給左後腿開刀嗎??
茶茶很明確的說,不要.
所以,我依照原本的決定,只要開右後腿即可.
然後順便再請醫生幫茶茶做絕育手術.
手術後的茶茶,已經在籠子內恢復意識.
帶著大喇叭的茶茶看到我們靠近,超級興奮的跳跳跳.
於是,我們從當天起被醫生禁止探望,直到醫生說茶茶可以出院為止@@
醫生還說,開刀時發現茶茶膝關節的關節液也幾乎都沒了.
所以茶茶目前也要積極地補充Consquien,而且需加強用量.

目前為止,茶茶的狀況都沒啥大問題.
感謝時代蔡醫生的幫忙,以及眾多朋友的關懷和資助.
真的真的很感謝你們,而且我們和茶茶都收到你們的心意了~~~





茶茶加油ㄛ~
相信有斑娘的細心照顧
很快就會恢復健康滴^^
茶茶
我相信斑娘可以給妳最好的妳曾經失去的一切
未來的路會更順暢喔!!
祝福妳
養樂多媽
茶茶你好勇敢喔!!
我應該說~
斑娘~你真有大愛阿^^
加油~
噗嗤
茶茶明確跟你說不要喔
但是
我想過一陣子
你應該會和牠再溝通一下
開左腳吧
呵
by 梅餅媽
[版主回覆 06/25/2008 10:02:35]茶茶要求的多咧~
他居然跟我說 不開也沒關係
只要我給他紅色的輪椅…@@
斑娘
很高興認識妳
真的
加油吧!
採茶小姑娘~~
球麻
茶茶加油
GO!GO!GO!
茶茶
開刀完了
妳真的很勇敢
妳麻麻也會很細心的照顧妳
大家都會為妳加油喔